(480) 812-8088
2181 E Warner Rd #104, Tempe, AZ 85284
Menu
About Us
Meet Dr. Lyu
Smile Gallery
Our Services
Preventive Dentistry
Restorative Dentistry
Dental Implants
Root Canals
Cosmetic Dentistry
Dental Veneers
Smile Makeovers
Invisalign®
Oral Surgery
Kids' Dentistry
Emergency Dentistry
Periodontal Therapy
Sedation Dentistry
Sleep Apnea
New Patients
Insurance & Financing
Patient Reviews
Special Offers
Contact Us
Book an Appointment
Book an Appointment
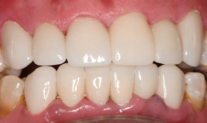
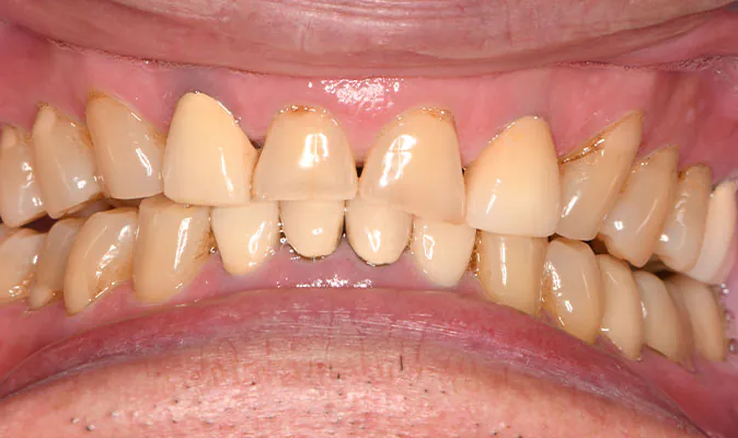
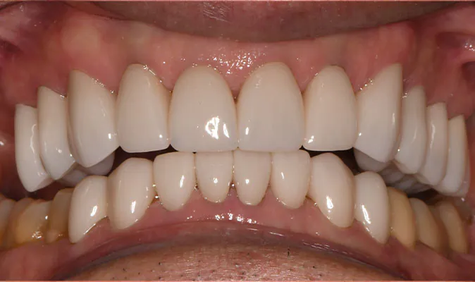
Smile Gallery
Cereus Dental Care
About Us
Smile Gallery
Before and After
(480) 812-8088
Contact Us
(480) 812-8088
50+ Google Reviews
5.0 stars